DKH Heart Center Logo

Excellence in Cardiac Care

At Deepa Kannan Hospital Heart Care Center, we provide world-class cardiac treatment with compassion, innovation and expertise. Your heart health is our priority.

Schedule Consultation

About DKH Heart Center & Cath Lab

Deepa Kannan Hospital Heart Care Center & Cath Lab stands as a beacon of excellence in cardiovascular medicine. With state-of-the-art catheterization laboratory facilities and a team of renowned cardiac specialists, we are committed to providing comprehensive heart care services that combine cutting-edge technology with personalized patient care.

Our mission is to deliver exceptional cardiac care through innovative treatments, advanced catheterization procedures, interventional cardiology and compassionate patient support. We believe that every heartbeat matters and we're dedicated to ensuring yours beats strong and healthy for years to come.

🏥

Advanced Cath Lab

State-of-the-art cardiac catheterization laboratory with advanced imaging technology

24/7 Emergency Care

Round-the-clock emergency cardiac services and critical care

💝

Comprehensive Care

Complete range of cardiac services from prevention to intervention

👨‍⚕️

Expert Team DKH

Board-certified cardiologists and cardiac specialists

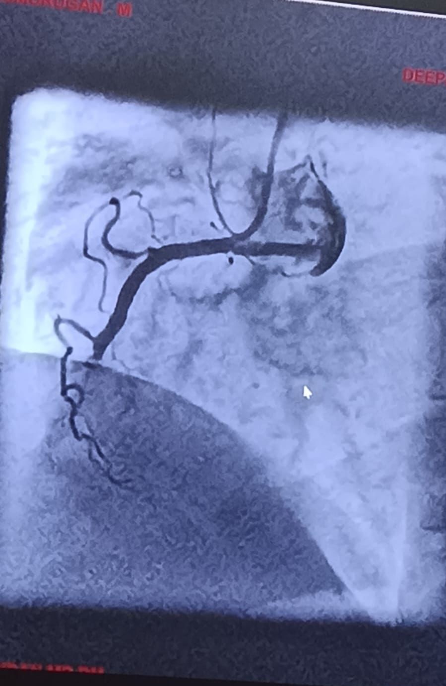
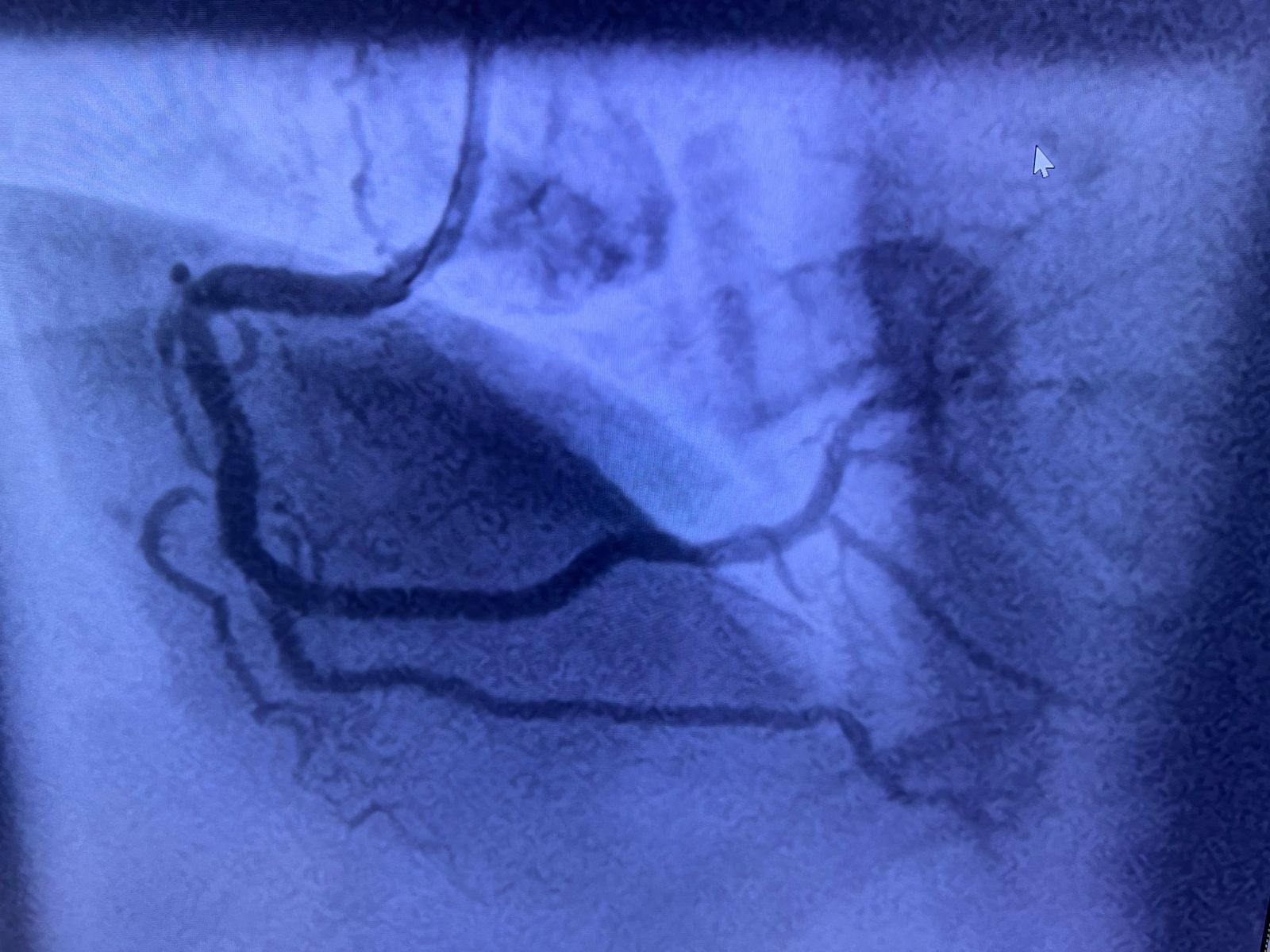
Gallery

Contact Us